Zum Inhalt
NEU: Events vieler Veranstalter direkt auf R4F buchen. Bequem und einfach. Jetzt buchen

Ein Hallo aus der Vergangenheit!

Hier könnt Ihr posten was nicht mit dem Thema Racing zusammenhängt
Jokes, jeglicher Dummfug oder einfach nur um zu quatschen :-)

Moderatoren: as, Chris

  • Benutzeravatar
  • slowly Offline
  • Beiträge: 2719
  • Registriert: Sonntag 6. November 2005, 13:42
  • Motorrad: wir werden sehen???
  • Lieblingsstrecke: Most, Hocken IDM
  • Wohnort: neben dem Sari

Ein Hallo aus der Vergangenheit!

Kontaktdaten:

Beitrag von slowly »

Hallo Racer!
12719329_10205480746680340_2649219276335796792_o.jpg
Nach sehr langer Zeit ohne Beitrag wollte ich einfach mal wieder etwas schreiben. Der Sport und Faszination Racing lebt noch in mir, aber aktuell komme ich leider nicht mehr dazu. Ich habe immer wieder an mein Comeback gedacht und war auch schon mehrfach auf der Suche nach einem Bike, aber immer kam mir etwas dazwischen. Ob es so bleibt, oder ob ich mal wieder auf ein Motorrad steige, wer weiß?

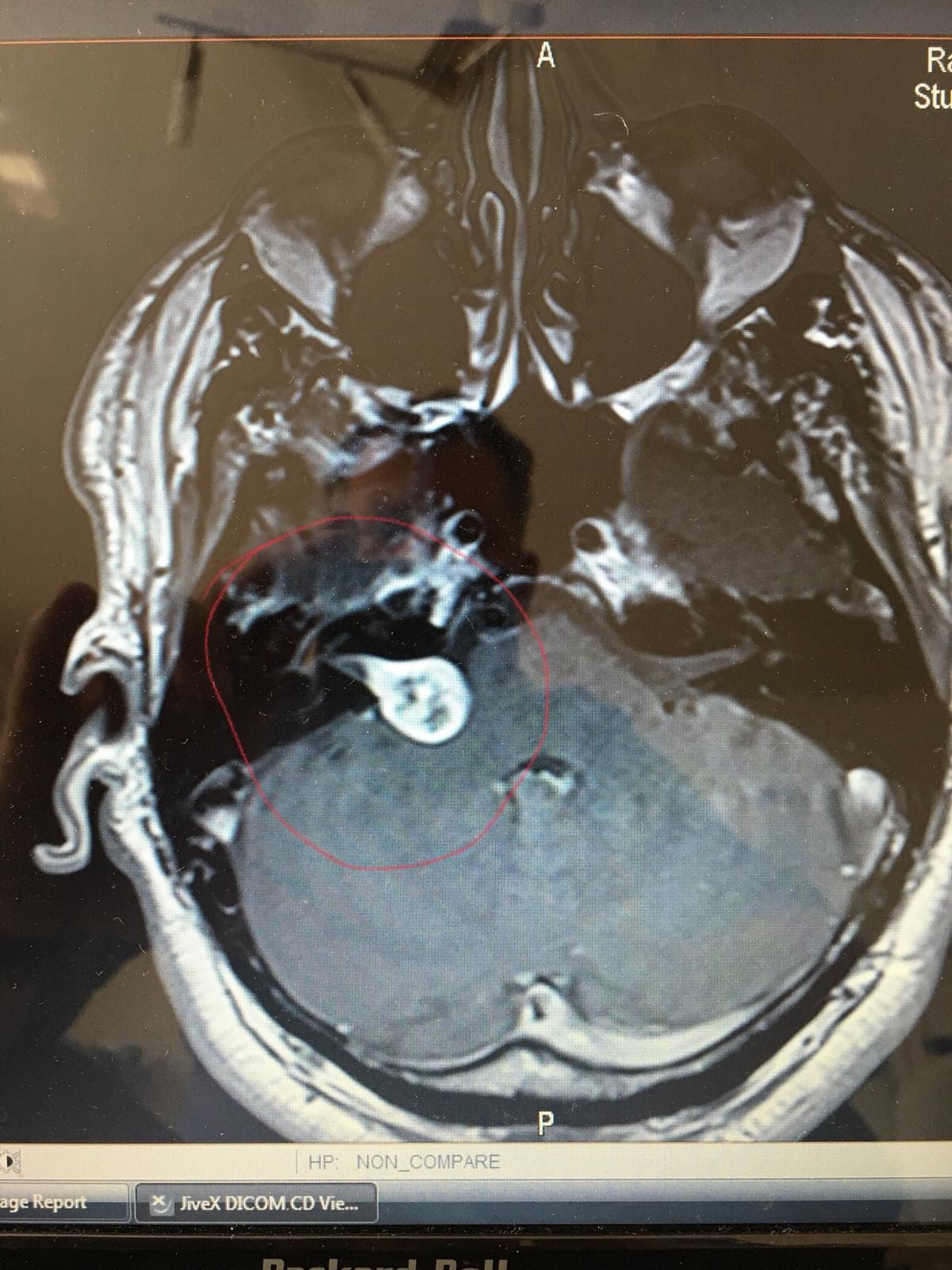
Der letzte große Schlag gegen mein Comeback was leider ein Hirntumor. Aber aktuell, ca. ein Jahr nach meiner OP ist alles gut.
49144903_10213041894304305_2463872138981933056_o.jpg
48944717_10213041893984297_4858891476853063680_o.jpg
Warum ich darauf eingehe, dieser Tumor war auch der Grund, warum ich aufgehört hatte. Mir ging es damals sehr schlecht und ich wusste nicht warum. Hatte kaum die Kraft einen Turn auf dem Motorrad zu sitzen und es wurde gefährlich. Also habe ich es gelassen als noch andere Dinge dazu kamen. Erst Jahre später, wurden von den Ärzten der Tumor und der Grund für meinen körperlichen Abbau bekannt. Heute geht es mir gut!

Aktuell ist das Projekt Hausbau der Grund, warum ich nicht auf ein Bike steige und es zumindest versuche. Aber wenn alles fertig ist, dann werden wir sehen. Mein Haus steht ja nicht weit weg vom Sari! :D

Aber eigentlich wollte ich nur mal wieder etwas schreiben und liebe Grüße an alle Racer senden!

Wünsche allen eine gute, erfolgreiche und sturzfreie Saison!

Euer slowly
Aufzünder in Wartestellung
  • Benutzeravatar
  • R.I.P. steirair Offline
  • Beiträge: 6617
  • Registriert: Freitag 29. April 2005, 05:55
  • Motorrad: BMW S1000RR
  • Lieblingsstrecke: Pannonia
  • Wohnort: Gössendorf bei Graz
  • Kontaktdaten:

Re: Ein Hallo aus der Vergangenheit!

Kontaktdaten:

Beitrag von R.I.P. steirair »

Wow, schon einiges durchgestanden. Viel Erfolg beim Hausbau, das andere auf sich zukommen lassen.
Alles gute weiterhin.
Lackieren, Design, Folierungen, Textildruck: http://www.kogler.at.
https://www.facebook.com/werbetechnik.kogler/
  • Benutzeravatar
  • rsvmillesn Offline
  • Beiträge: 56
  • Registriert: Sonntag 16. Januar 2011, 13:08
  • Motorrad: Kawasaki ZX10R
  • Lieblingsstrecke: Brünn, Aragon
  • Wohnort: Hamburg

Re: Ein Hallo aus der Vergangenheit!

Kontaktdaten:

Beitrag von rsvmillesn »

Moin,
auch wenn wir uns nicht persönlich kennen, irgendwie bekomme ich Gänsehaut wenn ich so etwas lese....
Dir wünsche ich viel Erfolg beim Hausbau und vor allem, was wichtiger ist, Gesundheit und das es dir weiterhin gut geht!!!!

Gruß Stephan
  • Schnuffel Offline
  • Beiträge: 26
  • Registriert: Dienstag 29. Januar 2019, 11:45

Re: Ein Hallo aus der Vergangenheit!

Kontaktdaten:

Beitrag von Schnuffel »

Hallo aus der Zukunft! Ich hatte zum Jahresende eine Herz OP, wo ich dem Teufel von der Schippe gesprungen bin. Brauche wegen der MS etwas länger, um wieder fit zu werden. Aber 2020 wird mein Jahr auf dem Kringel. :))
  • Benutzeravatar
  • Chris Offline
  • Site Admin
  • Beiträge: 17012
  • Registriert: Mittwoch 12. November 2003, 14:05
  • Motorrad: Keins :-(
  • Lieblingsstrecke: Schleiz
  • Wohnort: Chiemgau
  • Kontaktdaten:

Beitrag von Chris »

Alles Gute weiterhin Slowly!!!
  • Benutzeravatar
  • Chris79 Offline
  • Beiträge: 822
  • Registriert: Mittwoch 8. Februar 2017, 00:47
  • Motorrad: Honda CBR 1000 RR-R
  • Lieblingsstrecke: Brünn
  • Kontaktdaten:

Re: Ein Hallo aus der Vergangenheit!

Kontaktdaten:

Beitrag von Chris79 »

Absolute Gänsehaut Geschichte. Bringt einen wieder auf die Erde und zeigt was wirklich wichtig ist im Leben. Alles Gute für eine noch sehr lange und gesunde Zukunft.
Märzauftakt in Calafat
1000 KM Hockenheim
GMM 2026
  • Benutzeravatar
  • TTs Tim Offline
  • Beiträge: 2353
  • Registriert: Mittwoch 8. Juli 2009, 20:46
  • Wohnort: Westerwald
  • Kontaktdaten:

Re: Ein Hallo aus der Vergangenheit!

Kontaktdaten:

Beitrag von TTs Tim »

Wow, alles Gute!
https://www.tts-bikeshop.de
Motorradbekleidung und Zubehör - Macna Mizuro Maßlederkombis - jetzt in der Rabattaktion zur Markteinführung kennenlernen, Vermessung in eurer Nähe.
  • BeneVTR Offline
  • Beiträge: 131
  • Registriert: Montag 11. Juni 2012, 11:22
  • Motorrad: Suzuki GSX-R 1000 K5
  • Lieblingsstrecke: Oschersleben
  • Wohnort: Minden
  • Kontaktdaten:

Re: Ein Hallo aus der Vergangenheit!

Kontaktdaten:

Beitrag von BeneVTR »

Beste Wünsche gehen raus!
Facebook / Instagram / Twitter: BenKuMoto
  • Benutzeravatar
  • Diditotalbekloppt Offline
  • Beiträge: 5332
  • Registriert: Mittwoch 16. August 2006, 18:40
  • Motorrad: Speed Triple
  • Lieblingsstrecke: Osche/Zolder
  • Wohnort: Witten

Re: Ein Hallo aus der Vergangenheit!

Kontaktdaten:

Beitrag von Diditotalbekloppt »

Hey Slowly. Wünsche Dir weiterhin alles Gute. :band:

Didi
Instagram: Nofallsnoballs21
  • Benutzeravatar
  • VRanz46 Online
  • Beiträge: 295
  • Registriert: Samstag 13. Oktober 2018, 02:06
  • Motorrad: BMW S1000RR
  • Lieblingsstrecke: Brünn
  • Wohnort: 2491 Neufeld

Re: Ein Hallo aus der Vergangenheit!

Kontaktdaten:

Beitrag von VRanz46 »

Alles Gute auf dem weiteren Weg und viel Spaß beim Hausbau :wink:
Der Rest kommt wie es kommt
Lg VRanz

2024
Alle Events von BTR/Eder Racing
Antworten